Clínica Cristina Stefanon, especializada em mama e diagnósticos
Clínica Cristina Stefanon, especializada em mama e diagnósticos
A clínica Cristina Stefanon – mama & diagnósticos foi fundada pela Dra. Cristina Stefanon, profissional de referência no Estado em exames e procedimentos na área de diagnóstico por imagem. A clínica é um centro especializado em exames de mama e ultrassonografia geral. Possui uma estrutura ampla, moderna, acolhedora e confortável, com localização privilegiada, facilidade de acesso e de estacionamento. Possui equipamentos modernos e profissionais qualificados.
Nossas Especialidades
Na clínica oferecemos exames de alta precisão para um diagnóstico seguro e eficiente da saúde da mama.
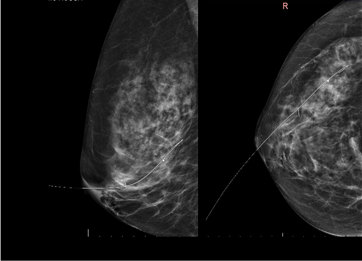
Agulhamento
O Agulhamento de mama é uma marcação pré-cirúrgica de uma lesão suspeita não palpável que necessita ser retirada através de uma cirurgia.
Mamografia com Contraste
A mamografia com contraste é uma tecnologia muito inovadora que está chegando aos poucos em nosso país, mas já está disponível exclusivamente em nossa clínica aqui no estado.
Mamografia Digital
A mamografia é uma radiografia das mamas obtida com a mama comprimida que tem por objetivo detectar precocemente o câncer de mama e avaliar lesões palpáveis.
Biopsia por Agulha Grossa
A Biópsia por agulha grossa (Core Biópsia) é a remoção de pequenos fragmentos da lesão da mama para avaliação histopatológica.
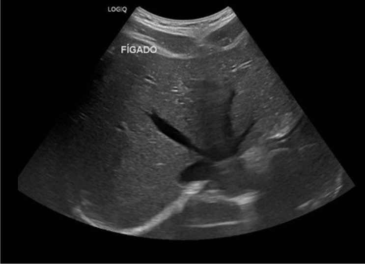
Ultrassonografia
Endovaginal, abdominal, tireóide, articulações, mama e axilas, músculo esquelético, craniana e etc.
Tomossíntese
É a evolução da Mamografia Digital.
Baseia-se na aquisição em múltiplos cortes utilizando baixa dose de Raio-X na mama comprimida.
Mamotomia
Mamotomia é um método de biópsia realizada com agulha grossa acoplada a um sistema à vácuo, possibilitando a retirada de fragmentos da lesão por meio de aspiração. Dependendo do tamanho e das características da lesão, pode promover sua retirada completa. O Serena 3D executa de forma mais rápida os procedimentos complexos e os casos desafiadores.
Nossos Equipamentos
Contamos com tecnologia de ponta para garantir exames precisos, confortáveis e eficientes.
Senographe Pristina
Para proporcionar maior comodidade e reduzir a ansiedade durante o exame, o equipamento foi desenhado para deixar as pacientes mais confortáveis, permitindo uma experiência de mamografia rápida e tranquila. Com superfícies macias, o Senographe Pristina promove uma sensação de calma, com iluminação elegante e formas arredondadas.
LOGIQ™ P8 - GE
O sistema de VS adaptado para um confortável fluxo de trabalho e com excelente qualidade de imagens e configurações personalizadas. Possui ferramentas de otimização operacional, segurança cibernética, ampliação das possibilidades de diagnóstico e inteligência artificial na padronização e integração de informações para construção de imagens nos diferentes tipos de exames.
Monitor Barco
A qualidade da imagem é crucial para um diagnóstico confiável e um tratamento bem-sucedido. As tecnologias da Barco vão além dos pixels e lúmens para aprimorar até os detalhes mais sutís na hora de ajudar na detecção precisa e precoce. Este monitor aumenta a detecção de pequenos detalhes em imagens de mama em até 30%, proporcionando um diagnóstico precoce e confiável.
Serena 3D
A acessibilidade é um ponto crítico para procedimentos de biópsia precisos, especialmente quando se tratam de casos desafiadores. O Serena oferece a opção de acessar a mama na abordagem vertical ou horizontal.
Estamos aqui para cuidar de você
Entre em contato através dos nossos canais de atendimento.